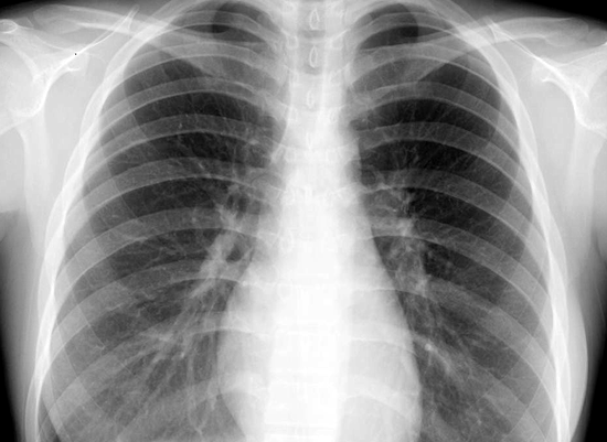
今日は循環器内科と呼吸器科の定期診察日であった。30年前に心臓の冠動脈3本のバイパス手術をしてから毎月定期的に循環器内科の診察を受けて、5種類の薬を飲み続けている。呼吸器科は3年前に発症した間質性肺炎の治療のためである。
主治医の話は血液検査の結果はタンパクは下がったがカリュウムが基準値より多くなった、カリュウムが多くなると不整脈や心筋梗塞の危険があるので急遽、心電図の検査をしたが異常はなかったので良かった。一週間カリュウムを下げる薬を飲んでどう変化するのか一週間後に再検診をしたいとなった。主治医から「カリュウムコントロールのためのポイント」という資料を戴いたが・・まあ、いろいろなことが起こるものだ。
呼吸器科は間質性肺炎の治療薬「オフェブ」の副作用で腎臓機能が低下しているので治療薬を一時中止している。「オフェブ」の服用を止めたので下痢も無くなり、すこぶる体調が良くなっているが・・・「オフェブ」飲まなければ肺機能が悪化する、飲めば腎臓が悪化する。どうすべきか?あと一か月服用を止めて様子を見ることになった。今のところ間質性肺炎の進行は止まっているようだがこれからどうなるかなぁ~?
朝の9時に病院に入って出て来られたのは午後3時だった。生きて行く以上は仕方がないと思っている。
こんな時は主治医の指示に従って生活して行く以外ない、88歳まで生き長らえてこられたので願わくば苦しまないでいつでも逝く覚悟は出来ている。生きるために健康に留意しているが、情報を集めたりサプリメントを飲んだりするような健康の為に生きているようなことはやめたい。今日まで生きてこられたことに感謝している。







コメント